
RVG zęba
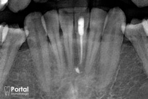
RVG zęba to innowacyjna radiowizjografia (zdjęcie rentgenowskie) polegająca na uzyskaniu cyfrowego obrazu pojedynczego zęba lub jego niewielkiego fragmentu. Dzięki nowoczesnemu cyfrowemu sprzętowi RTG obraz pojawia
Strona główna » Archiwum dla 25 listopada 2025

RVG zęba to innowacyjna radiowizjografia (zdjęcie rentgenowskie) polegająca na uzyskaniu cyfrowego obrazu pojedynczego zęba lub jego niewielkiego fragmentu. Dzięki nowoczesnemu cyfrowemu sprzętowi RTG obraz pojawia

Wielu pacjentów wciąż kojarzy stomatologię z nieprzyjemnymi doznaniami, które pamiętają z dzieciństwa: dźwiękiem wiertła, bólem podczas zabiegów czy stresem przed przekroczeniem progu gabinetu. Jednak współczesna

Z nakładek Invisalign® skorzystało 20 milionów osób na całym świecie*, co może wskazywać na jej wszechstronność tej metody w prostowaniu zębów. Sprawdź, jakie wady zgryzu

RVG zęba to innowacyjna radiowizjografia (zdjęcie rentgenowskie) polegająca na uzyskaniu cyfrowego obrazu pojedynczego zęba lub jego niewielkiego fragmentu. Dzięki nowoczesnemu cyfrowemu sprzętowi RTG obraz pojawia

Wielu pacjentów wciąż kojarzy stomatologię z nieprzyjemnymi doznaniami, które pamiętają z dzieciństwa: dźwiękiem wiertła, bólem podczas zabiegów czy stresem przed przekroczeniem progu gabinetu. Jednak współczesna

Z nakładek Invisalign® skorzystało 20 milionów osób na całym świecie*, co może wskazywać na jej wszechstronność tej metody w prostowaniu zębów. Sprawdź, jakie wady zgryzu
Aktualności


Różnice między leczeniem prywatnym a NFZ


Kiedy iść do dentysty w nagłym przypadku?


Najpopularniejsze w zdrowie
| Cookie | Duration | Description |
|---|---|---|
| cookielawinfo-checkbox-analytics | 11 months | This cookie is set by GDPR Cookie Consent plugin. The cookie is used to store the user consent for the cookies in the category "Analytics". |
| cookielawinfo-checkbox-functional | 11 months | The cookie is set by GDPR cookie consent to record the user consent for the cookies in the category "Functional". |
| cookielawinfo-checkbox-necessary | 11 months | This cookie is set by GDPR Cookie Consent plugin. The cookies is used to store the user consent for the cookies in the category "Necessary". |
| cookielawinfo-checkbox-others | 11 months | This cookie is set by GDPR Cookie Consent plugin. The cookie is used to store the user consent for the cookies in the category "Other. |
| cookielawinfo-checkbox-performance | 11 months | This cookie is set by GDPR Cookie Consent plugin. The cookie is used to store the user consent for the cookies in the category "Performance". |
| viewed_cookie_policy | 11 months | The cookie is set by the GDPR Cookie Consent plugin and is used to store whether or not user has consented to the use of cookies. It does not store any personal data. |